|
人类具有快乐、愤怒、恐惧、悲哀、惊奇、厌恶这6种基本情绪,还有嫉妒、惭愧、羞耻、自责、自豪等复杂情绪。情绪本身无所谓好坏,是一种类似本能的反应,只有失去控制的时候才会危害健康、伤及他人,如果对情绪多一些了解,就会多一些接纳和掌控。 
视觉中国供图
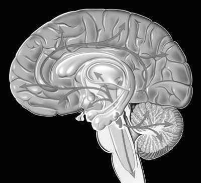
1878年,法国神经学家布罗卡发现哺乳动物大脑内侧有一圈与周围皮层截然不同的结构,将其命名为边缘叶。后来,心理学家麦克林把边缘叶以及一些邻近的神经核团统称为边缘系统。边缘系统包括扣带回、眶回、胼胝体下回、梨状区、海马回、杏仁核、隔区、下丘脑、乳头体等结构。当各种感觉传递到边缘系统的不同部位时,就会引发不同的情绪。 愤怒与攻击中枢,位于边缘系统中的下丘脑。20世纪60年代,耶鲁大学的弗林教授发现,刺激下丘脑的不同部位,会分别引起猫的情感性攻击和捕食性攻击;进行情感性攻击时,猫的后背弓起,发出尖利的嘶叫,猫狗大战是典型的情感性攻击;进行捕食性攻击时,猫匍匐前进,看准机会扑向猎物,并不会事先发出威胁或警告。 恐惧与焦虑中枢,位于大脑颞叶皮层内侧的杏仁核。芝加哥大学的布鲁克和布西两位教授,曾切除了猴子的双侧颞叶及杏仁核,猴子的恐惧反应明显降低,会情不自禁地靠近并触摸它看见的每一件物体,并且把物体放在口中,仿佛通过口腔而不是视觉来辨认这件物体。杏仁核被切除的大鼠会主动接近野生猫,而杏仁核被切除的野生猫会变得和家猫一样温顺。因为没有恐惧,动物的攻击行为也随之减弱了。 快乐中枢,位置比较分散。美国加州理工学院的奥尔兹和米尔纳设计了一个实验:他们在大鼠脑内埋植电极,并且训练大鼠可以通过踩一个踏板进行自我刺激。当电极置于边缘系统的隔区、下丘脑外侧部、内侧前脑束、中脑腹侧被盖区和脑桥背侧区时,大鼠会不断进行自我刺激,直到体力耗尽才停下来。这些部位被称为“快乐中枢”,与强化行为,例如美食、运动、性行为有关,倘若过度刺激就可能成瘾。 在人类的基本情绪中,除了快乐广受欢迎,其余令人反感。人类为什么会产生这么多“负面情绪”?其实,“负面情绪”是有其积极意义的。 7000万年以前,哺乳动物的祖先为躲避恐龙的袭击小心翼翼,对最轻微的响声也要保持警惕,不然很可能有生命危险。如果它们错过了获取食物或者交配的机会,还可以有新的机会;可是如果没有躲过危险,生命就彻底结束了。我们这些通过层层生存竞争、优胜劣汰最终存活下来的人类,基因里镌刻着对负面经验的记忆,对负面情绪的体验更加复杂而强烈。 如果没有负面情绪,我们可能不思进取、安于现状,用不了多久就会在生存竞争中败下阵来;如果负面情绪过于强烈和持久,也会对人体造成伤害,作用于自主神经系统,影响内脏的正常工作,可能引发高血压、心脏病、头痛、胃溃疡、乳腺癌等多种疾病。 一个发人深思的规律就是:一个人越能够接纳负面情绪,越不会受到负面情绪的困扰;越想逃避或摆脱负面情绪,越会深陷其中。不少哲学家和心理学家如此劝告世人:人生苦难重重,经历痛苦本身才是通往解脱的道路。这就要求人们面对令自己感觉如此糟糕的事实,不断反思和修正自己的认知与行为,积累智慧和力量,最终获得持久的平静与安然。 调节情绪的根本在于改善认知,而认知决定了一个人的生命质量,当我们的认知达到光明的境界,就好像大海航行掌稳了舵,不再被惊涛骇浪所左右,就会抵达幸福的新大陆。
|